Diagnóstico por imagen veterinario - Reinaldo Pacheco
15257
home,wp-singular,page-template,page-template-full_width,page-template-full_width-php,page,page-id-15257,wp-theme-bridge,bridge-core-3.3.4.5,qi-blocks-1.4.9,qodef-gutenberg--no-touch,qodef-qi--no-touch,qi-addons-for-elementor-1.9.6,qode-optimizer-1.2.2,qode-page-transition-enabled,ajax_fade,page_not_loaded,,qode-title-hidden,qode_grid_1200,qode-smooth-scroll-enabled,qode-theme-ver-30.8.8.5,qode-theme-bridge,wpb-js-composer js-comp-ver-8.7.1,vc_responsive,elementor-default,elementor-kit-8

Diagnóstico por imagen veterinario

Reinaldo Pacheco al servicio de clínicas y profesionales

Servicios

Ofrezco un servicio personalizado adaptado a las necesidades de cada paciente

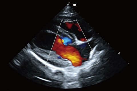
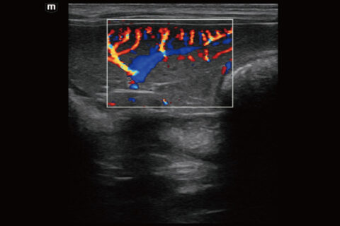
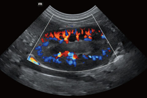
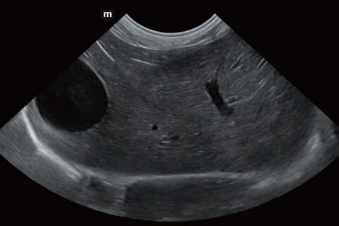
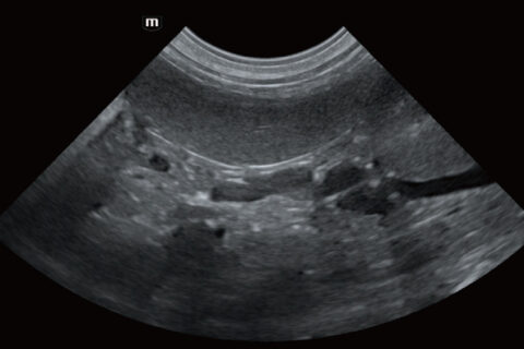
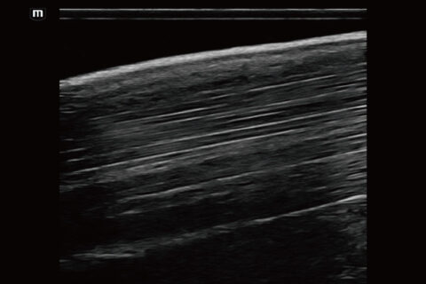
Diagnóstico por imagen veterinario ecografia

Ecografía

Realizo estudios ecográficos detallados para evaluar órganos y estructuras internas en tiempo real, ofreciendo imágenes precisas que permiten orientar el diagnóstico de forma inmediata.

Diagnóstico por imagen veterinario radiografia

Radiografía

Interpreto radiografías digitales con un enfoque clínico, analizando patrones y cambios estructurales para aportar una lectura clara y útil en la valoración del paciente.

Diagnóstico por imagen veterinario electrocardiograma

Electrocardiografía

Analizo trazados electrocardiográficos para identificar alteraciones del ritmo y del funcionamiento cardíaco, proporcionando una interpretación fiable y completa.

SOBRE MÍ

Diagnóstico por imagen veterinario sobre mi

Mi carrera me ha llevado a crear y dirigir centros de diagnóstico por imagen en distintos países, participar como ponente en talleres y congresos y colaborar con una amplia red de colegas a nivel internacional. Este camino me permitió desarrollar un criterio sólido, adaptable y siempre orientado a resolver casos clínicos con claridad.

 

Hoy ejerzo de forma independiente en España, desplazándome directamente a las clínicas para realizar estudios avanzados. Mi objetivo es complementar el trabajo del veterinario con información fiable, interpretada desde la experiencia y ajustada a las necesidades reales de cada caso.

SOBRE MÍ

Diagnóstico por imagen veterinario sobre mi

Mi carrera me ha llevado a crear y dirigir centros de diagnóstico por imagen en distintos países, participar como ponente en talleres y congresos y colaborar con una amplia red de colegas a nivel internacional. Este camino me permitió desarrollar un criterio sólido, adaptable y siempre orientado a resolver casos clínicos con claridad.

 

Hoy ejerzo de forma independiente en España, desplazándome directamente a las clínicas para realizar estudios avanzados. Mi objetivo es complementar el trabajo del veterinario con información fiable, interpretada desde la experiencia y ajustada a las necesidades reales de cada caso.

MIS VALORES

Soy médico veterinario especializado en Diagnóstico por Imágenes, con más de 20 años de experiencia clínica y más de 12 años dedicado de forma exclusiva a la imagenología veterinaria.

Excelencia técnica

Me esfuerzo por obtener imágenes claras y diagnósticos precisos, aplicando métodos actualizados y utilizando herramientas que me permiten ofrecer resultados fiables en cada estudio.

Colaboración profesional

Trabajo de la mano con cada veterinario tratante, escuchando sus necesidades, integrando la información clínica y proporcionando una interpretación que realmente ayude en la toma de decisiones.

Pasión y vocación

Disfruto profundamente de la imagenología y encuentro una motivación constante en aportar claridad a casos complejos, siempre con la convicción de contribuir al bienestar de cada paciente.

GALERÍA

Aparatología

Para mis estudios de imagen utilizo el ecógrafo Mindray Vetus 7, un equipo de última generación que me permite obtener imágenes claras y fiables directamente en la clínica, adaptándome a cada caso con precisión y agilidad.

Alta resolución de imagen

Tecnología Doppler avanzada

Sondas especializadas

Aparatología

Para mis estudios de imagen utilizo el ecógrafo Mindray Vetus 7, un equipo de última generación que me permite obtener imágenes claras y fiables directamente en la clínica, adaptándome a cada caso con precisión y agilidad.

Alta resolución de imagen

Tecnología Doppler avanzada

Sondas especializadas

TESTIMONIOS DE MIS CLIENTES